🎉 15% Off Early Scans – North London Numiscan New Year Offer Book Now

Well-being Scan

Well-being Scan
Well-being Scan

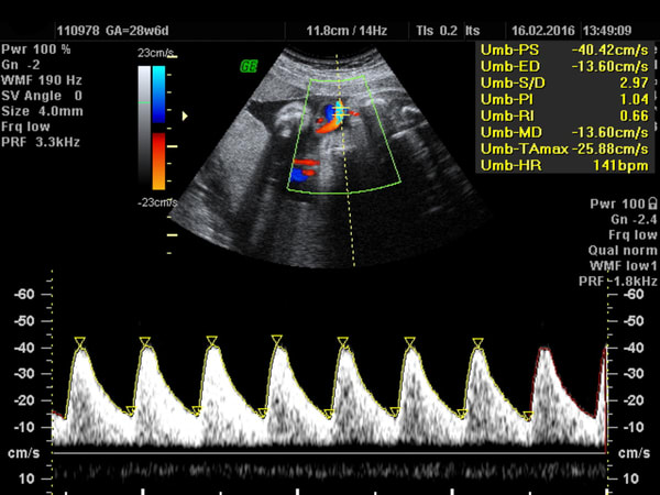
If you find your unborn baby has reduced movement, particularly in the 3rd trimester, Numi Scan can complete a well-being scan that focuses on the development of your unborn baby. During this examination we can assess the umbilical artery blood flow to ensure the artery is supplying the right amount of blood, check growth measurements, check for fetal movement, amniotic fluid levels & establish placenta position. For more information & to make a booking visit www.numiscan.co.uk

Book a Package